Leistungsspektrum der Praxis

1. Routinehistologie
- histologische Untersuchungen von Biopsien und größeren Operationspräparaten aus allen Region des menschlichen Körpers
- Standardfärbung Hämatoxylin-Eosin (HE)
- häufige Sonderfärbungen: van Gieson, Goldner, Giemsa, Warthin Starry, Alzianblau

2. Histochemie
- Periodsäure-Schiff-Reaktion (PAS) zum Nachweis von glykosilierten Proteinen und Lipiden sowie Polysaccariden und Schleimsubstanzen.
- Berlinerblau-Reaktion zum Eisennachweis
- Kongorot-Reaktion zum Amyloidnachweis
- Feulgen-Reaktion zum DNA-Nachweis

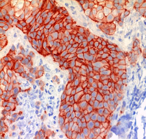
3. Immunhistochemie
Die immunhistochemischen Methoden basieren auf einer Antigen- Antikörper-Reaktion im histologischen Schnittpräparat, die mit geeigneten Färbesubstanzen sichtbar gemacht wird. Damit ist ein sehr spezifischer Nachweis von Gewebsantigenen möglich.
Wesentliche Einsatzgebiete sind
- Typisierung gutartiger und bösartiger Tumoren
- Östrogen- und Progesteronrezeptornachweis
- Her2-neu-Nachweis beim Mamma- oder Magenkarzinom
- Erregernachweis (z.B. Lamblien, HPV, HSV oder Helicobacter pylori)
4. Molekularpathologie
Durch Kooperation mit verschiedenen externen Einrichtungen organisieren
wir alle wichtigen molekulargenetischen Zusatzuntersuchungen:
- Nachweis nicht humaner DNA (z.B. Mykobakterien)
- Mutationsanalytik maligner Tumoren (z.B. k-ras-Mutationsanalytik)
- in situ-Hybridisierung von Her2-neu bei immunhistochemischen 2+Befund
- HPV-Typisierung

5. Zytologie
Es werden zytologische Untersuchungen an Materialien aus allen Körperregionen durchgeführt:
- gynäkologische Vorsorgezytologie: vorliegende KV-Zulassung, Möglichkeit der flüssigkeitsbasierten PapSpin-Methode
- Mundhöhlenabstriche zur Suche nach Präkanzerosen
- Punktions- und Aspirationszytologie aus Körperflüssigkeiten und Organpunktionen
- bedside-zytologische Sofortuntersuchung (rapid on-site evaluation) bei ultraschallgestützten Feinnadelpunktionen (z.B. Tumoren im Pankreas, Mediastinum, Lunge)
- zytologische Standardfärbung Papanicolaou
- zytologische Zusatzfärbungen PAS, modifizierte Giemsa-Färbung
- immunzytochemische Untersuchung
- polarisationsoptische Untersuchungen zum Nachweis von kristallinen Strukturen (Gelenkpathologie)
6. Schnellschnittdiagnostik
Schnellschnittuntersuchungen werden an Gefrierschnitten durchgeführt. Diese können innerhalb weniger Minuten gefertigt und gefärbt werden. Qualitativ sind Gefrierschnitte allerdings nicht mit den Standardpräparaten der Paraffinhistologie zu vergleichen, damit ist die Aussagekraft der Gefrierschnittuntersuchung gegenüber der Standardhistologie eingeschränkt. In der Regel können jedoch zuverlässige Aussagen zur Dignität einer Veränderung oder zur Tumorfreiheit von Resektionsrändern getroffen werden, so dass intraoperativ über die Art der Fortführung des operativen Eingriffes entschieden werden kann.
7. Obduktionen
Die Obduktion wird zur Feststellung der Todesursache, des Grundleidens und der ätiopathogenetischen Zusammenhänge zwischen beiden durchgeführt. Sie dient der Qualitätssicherung der vorangegangenen Diagnostik und Therapie und liefert die genauesten Daten für Morbiditäts- und Mortalitätsstatistiken. Auch aus versicherungsrechtlicher Sicht liefert die Obduktion wichtige Befunde, z.B. bei Nachweis ursächlicher Zusammenhänge zwischen Todeseintritt und berufsbedingten Erkrankungen.